老烟枪怎么会满口黑牙?
来源:网络收集 点击: 时间:2024-07-21乐莎莎口腔,说说嘴里那点事!“哥们,原来你也是老烟枪啊,看你牙就知道了”,此刻该表现出烟枪见烟枪,两眼泪汪汪,还是想把拖鞋塞他嘴里?因为经常抽烟,享受点燃香烟用力吸的一瞬间,享受吸入第一口在嘴里翻腾后长舒一口气吐出烟雾的瞬间.....渐渐的,口气已经不是原来那个口气了,牙齿也不是原来的那个牙齿了....

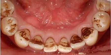
嘿!你有一口烟屎牙
老烟枪让牙齿有了一个“烟屎牙”这么个性的名字。如果牙齿长期生活在含有尼古丁,烟焦油等物质的环境中,表面会积累各种污垢细菌,当然这些可以通过刷牙就能拿下,但是还有一些死皮赖脸的残留物会沉积在牙齿上分泌许多黏性物质,这下糟了,当吸入口腔内的烟雾与牙齿上面的黏性物质相遇,日积月累,就让原来的牙齿变色(变黄变黑)。

嘴里的生化武器让人过鼻难忘
经常抽烟的人,口腔内是有很多细菌的,如果这个时候在加上有牙周炎,那么就像一个mini型的马桶,呼出让人过鼻难忘的生化武器。
像史上最尴尬的婚礼,新郎就是因为口臭把新娘给吻吐的,我想这个新郎应该会因为口臭名垂千史吧?所以抽烟引起的口臭不得不重视呀~

别让你的口气像脚气一样?
醒来,烟还在,牙没了
人活在这世上最大的痛苦你知道是啥不?那就是烟还在,牙却没了!抽烟的人牙齿上容易沉积牙结石,局部菌斑刺激也会加重牙周炎,而且,烟草中含有多种有害物质,会刺激牙周组织或进入血液循环,造成牙周组织的慢性损害。当牙周炎严重的时候,带来最直接的影响就是牙齿脱落,不是一颗一颗的掉,而是一排一排的掉,真担心,长期抽烟的朋友,哪天醒来,烟还在,牙没了。。。

咳咳,洗洗就白了,洗洗没味儿了~
那些无法用牙刷解决的黑牙,是时候让专用的器械上场洗白白了。洗牙时用超声波的震动和水雾冲洗配合下,将牙齿表面的牙菌斑,牙结石、牙渍洗掉。还你原来的那个牙,还你原来的那个口气~(内个,肠胃问题导致的口气小编就爱莫能助了啊)

洗洗更健康
最后,找牙医去吧~
有牙周病的老烟民可进行牙龈洁治术、根面平整术,以消除龈上和龈下的菌斑和牙石,控制并解除牙周组织的炎症。如果已经掉了,那就去看医生检查吧,看看能不能镶牙~~
另外,洗牙后尽量不要抽烟啦,还要保持良好的口腔卫生,可不能偷懒。还有一本正经的跟我讲烟可以预防牙病的人,你出来,保证不打死你。
版权声明:
1、本文系转载,版权归原作者所有,旨在传递信息,不代表看本站的观点和立场。
2、本站仅提供信息发布平台,不承担相关法律责任。
3、若侵犯您的版权或隐私,请联系本站管理员删除。
4、文章链接:http://www.1haoku.cn/art_984157.html
订阅